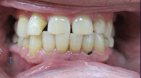
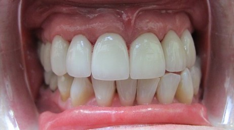
Zoom Whitening: Brighten Your Smile with Confidence
Are you ready to unlock the secrets to a…

matters expert dental care
a bright tomorrowExperience top-quality dental care focused on your smile’s health and beauty. Trust us to create a brighter, healthier tomorrow.
Friendly staff, gentle treatment, and a clinic you can truly trust.
matters expert dental care
a bright tomorrowExperience top-quality dental care focused on your smile’s health and beauty. Trust us to create a brighter, healthier tomorrow.
Hospital are crucial institdutions in our society
(905) 832-2010
office@drgillmore.ca
Monday to Thursday 8 AM to 5 PM
Friday 8 AM to 3 PM
Saturday 7 AM to 2 PM
We invite you to explore our website and discover our passion and dedication in caring for our patients. We offer a wide range of family dental services and are proud to be your chosen dentist in Maple and Vaughan, ON.
We want your visit to be comfortable. That's why we offer many amenities, including soft blankets, headphones, pillows, and even TV with Netflix.
Your time is maximized at every appointment. We offer evening and Saturday appointments, multiple family appointments, and combine multiple treatments in a single appointment.
The unexpected happens, we get that. If you're undergoing a dental emergency, please call our office, and we'll get you in as soon as possible.
Accurate diagnosis of dental diseases ensures effective treatment plans, helping to maintain oral health and prevent further complications.
Our mission is to make your dental experience a comfortable one.
Every treatment plan is unique to you. Educate yourself on the services we offer.
Visit our smile gallery and witness the smiles we've crafted for all our patients.
At Gillmore Medical Dental, we believe every smile deserves gentle, attentive care. Our team provides a warm, welcoming environment where families feel supported and informed. Whether you visit us for routine care or advanced cosmetic treatment, you can expect personalized attention and exceptional quality.

Founder
Dr. Gillmore has been a family and cosmetic dentist for over 20 years in the Maple area. Along with her associate Dr. Hillary Gillmore, Dr. Gillmore provides all the dental services you need to maintain, enhance, and restore your smile.
As a patient who has recently completed Invisalign treatment, I will confidently say that I am completely satisfied with my experience and outcome. From the beginning everything was explained to me about the course of treatment and the results that I could expect to see upon completion. My new smile has brought increased confident and functionality which are very important to me. Thank you for taking the time to educate me. I appreciate the knowledge offered and the fact that you have proactively taken the steps to ensure my dental wellness is top priority today and in year to come.
I love Dr. Gillmore and her staff. Even though I have moved several times over the years, I keep coming back to her and the fantastic staff at Gillmore Medical Dental. I would never dream of going anywhere else. They are amazing and always take the best care of my smile. My sister loved my new smile so much that she came to see Dr. Gillmore for her Smile Makeover. Just like always, she has to copy me! However for this reason it was fantastic to be copied.
Nina Gillmore became our dentist in 1997. Her office operates smoothly, handling patients and dental plans with ease. The dental expertise of both Dr. Gillmore and her hygienists are evident with my husband's dentures and my overall oral health. Even after moving over an hour away, we continue to travel to Maple for the excellent care she provides. At the ages of 69 and 71 we smile with confidence knowing our teeth are healthy and look great!
At the beginning I was skeptical about the process, not sure I should change what nature gave me. However, as I moved through the process, I began to feel more comfortable. By the time I had my crowns place, I was so happy with the result. I have gained confidence I never had and now I feel great about myself. I show off my teeth to everyone and can’t stop smiling!
I love this place, I have been brining my family here for years and would never dream of changing. The girls here are the best and they always respect my time and provide me with exceptional service. I love Kate and how she takes care of my teeth!

"My husband and I opened Gillmore Medical Dental together where we've established a trusted name within the community since 1992. I look forward to serve your dental needs as a dentist in Maple."
- Received DDS degree in 1992
- Graduate of the University of Toronto
- Offers family and cosmetic dentistry

Hillary is passionate about building trusting relationships with her patients. She wants to make the dental experience as pleasant as possible for her patients.
- Bachelor of Science - Western University
- Masters of Biomedical Science - University of Guelph
- Doctor of Dental Surgery - Schulich School of Medicine and Dentistry


Find quick answers to common questions about our dental services, procedures, and patient care in our FAQ section.
We always take care of your smile
659-989-698565
Yes, we accept most major dental insurance plans. Please contact us to verify your coverage.
Yes, we accept most major dental insurance plans. Please contact us to verify your coverage.
Yes, we accept most major dental insurance plans. Please contact us to verify your coverage.
Yes, we accept most major dental insurance plans. Please contact us to verify your coverage.
Yes, we accept most major dental insurance plans. Please contact us to verify your coverage.
Are you ready to unlock the secrets to a…
“A cavity starts as a small white spot on the…
Ready to take the next step towards a healthier smile? Use our easy online booking system to schedule your dental appointment. Simply select a convenient date and time, provide some basic information, and we’ll handle the rest.
We always take care of your smile
Fill out the form below to request your dental appointment. We’ll confirm your time and send you a reminder.
You can find the entrance and parking at the rear of the building.
Call us at (905) 832-2010 or
send us an email at office@drgillmore.ca
We serve the Greater Maple and Vaughan, ON communities.
We invite you to explore our website and discover our passion and dedication in caring for our patients.
Copyright © 2025 All Rights Reserved.
Powered by Digital ByteTeck