
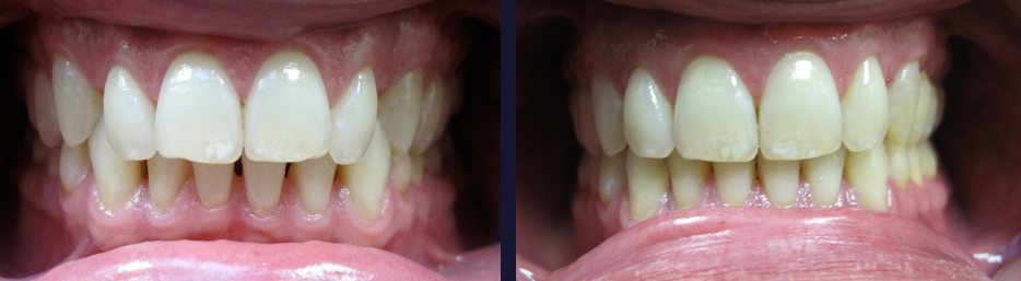
There are many ways to straighten your teeth. Most people are familiar with retainers and traditional braces with wires. The most innovative orthodontic treatment available today uses clear aligners, called Invisalign®. Now you can enjoy a straighter, healthier smile without wearing metal braces everyone will notice or avoiding the foods you love.
How does Invisalign® straighten teeth? A series of clear aligners are created especially for you which gently correct misaligned teeth. The best part about the clear aligners is that you can remove them to eat, drink, clean your teeth, or snap a perfect selfie. Invisalign® is a comfortable, convenient way to straighten your teeth without interference in your day-to-day routine. Enjoy the confidence of knowing your treatment is virtually invisible and can be completed in less time than traditional braces.
Having trouble viewing this video? You can watch it here: https://www.youtube.com/watch?v=Ca69CuWqHCw (clicking this link will open in a new window).
All Invisalign® cases start with an impression of your teeth. These impressions are used to create aligners that fit your teeth and encourage the teeth straightening process.
Traditional impressions used sticky, goopy material that takes several minutes and makes most patients gag. The new iTero Intraoral Scanner uses digital technology to create impressions in less time and more comfortably!
The small camera scanner takes pictures of your upper and lower teeth. The images are scanned into a computer and are displayed on a computer screen. The resulting scan is virtually an identical copy of your teeth. The entire process takes as little as 60 seconds.
With iTero's Invisalign® Outcome Simulator, your Invisalign dentist can simulate the outcome of your treatment. You will see how your teeth will look at the end of treatment.
"As a patient who has recently completed Invisalign treatment, I am completely satisfied with my experience and outcome. Everything was explained to me about the course of treatment and the results that I could expect to see upon completion. My new smile has brought increased confidence and functionality. I appreciate the knowledge offered and the steps taken to ensure my dental wellness is top priority today and in years to come."
At Gillmore Medical Dental, Dr. Gillmore and her staff provide Invisalign® treatment for the Maple community. With over 20 years as a cosmetic dentist, Dr. Gillmore has earned the respect and trust of her patients. We are confident you’ll feel safe in our relaxed and comfortable environment.
We are committed to providing the most comfortable patient experience possible.
We use the latest dental technologies for the best treatment outcomes.
Dr. Gillmore invests in continuing education for herself and her entire staff.
Dr. Gillmore and her staff recently attended the Elevate Invisalign® training course, learning how to more effectively identify potential Invisalign cases, diagnose and develop effective treatment plans, and use the iTero technology to enhance patient outcomes.
We are excited to use our new training to make your Invisalign® treatment a success!
Our mission is to provide compassionate, high-quality dental care, promoting healthy smiles through personalized treatments and patient.
Our vision is to provide compassionate, high-quality dental care, promoting healthy smiles through personalized treatments and patient.
Our value is to provide compassionate, high-quality dental care, promoting healthy smiles through personalized treatments and patient.
Dr. Smith and the team were amazing! From the moment I walked in, I felt at ease. The care and attention to detail were outstanding. My smile has never looked better! I've always been nervous about visiting the dentist, but the staff here made me feel so comfortable. They explained everything clearly and made sure I was okay throughout the procedure The best dental experience I've ever had! The hygienists are gentle.
Dr. Smith and the team were amazing! From the moment I walked in, I felt at ease. The care and attention to detail were outstanding. My smile has never looked better! I've always been nervous about visiting the dentist, but the staff here made me feel so comfortable. They explained everything clearly and made sure I was okay throughout the procedure The best dental experience I've ever had! The hygienists are gentle.
Dr. Smith and the team were amazing! From the moment I walked in, I felt at ease. The care and attention to detail were outstanding. My smile has never looked better! I've always been nervous about visiting the dentist, but the staff here made me feel so comfortable. They explained everything clearly and made sure I was okay throughout the procedure The best dental experience I've ever had! The hygienists are gentle.
We invite you to explore our website and discover our passion and dedication in caring for our patients.
Copyright © 2025 All Rights Reserved.
Powered by Digital ByteTeck